Overdenture

Overdenture inferior com quatro implantes.

saiba mais[+]

Over Superior e Inferior

Overdenture superior e inferior com dois implantes superiores e os quatro implantes inferiores

saiba mais[+]

Protocolo

Instalação de seis implantes inferiores e prótese fixa do tipo protocolo inferior de porcelana.

saiba mais[+]

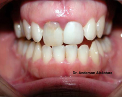
Implante de Carga Imediata

Fratura de raiz substituída por implante dental.

saiba mais[+]

Implante Carga Imediata:

Significa que instalamos o implante em uma sessão e no máximo em 72 horas colocamos a prótese provisória sobre o implante. Esse método requer avaliações precisas no que diz respeito a quantidade e qualidade óssea. Neste caso o paciente recupera a função e a estética muito rápido. Melhorando assim sua auto estima no máximo em 3 dias.

Laserterapia Aplicada a Implantes:

Utilizamos laser do aparelho Whitening lase" da DMC que auxilia no processo de reparação óssea e consequentemente diminui o período de osseointegração. Com isso você ganha tempo e conforto em seu tratamento odontológico sem nenhum custo adicional.

Implante Odontológico - © 2009 Todos os direitos reservados
Av. Segismundo Pereira, 715 - Sta. Mônica - Uberlândia/MG - (34) 3219-8002 / 9196-0825